Ваш город:
Время работы: пн-вс: 9:00-20:00
Записаться на прием Меню

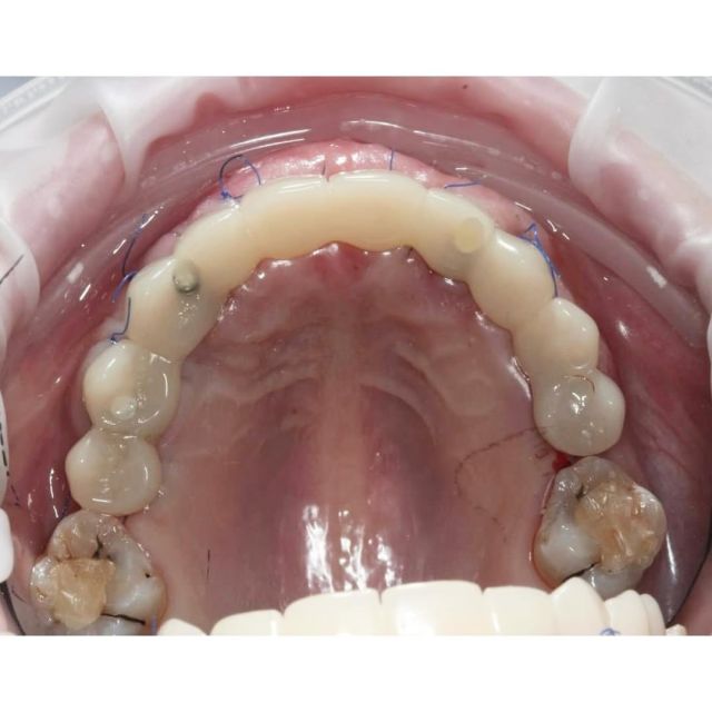
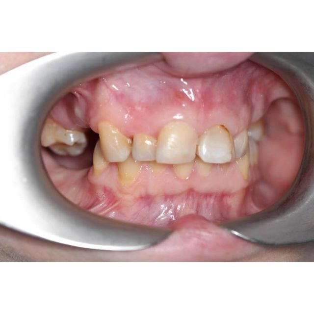
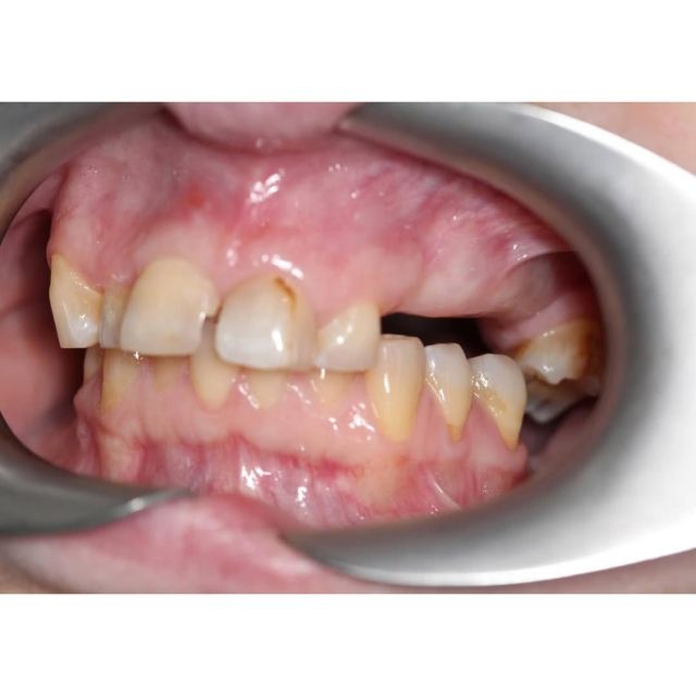
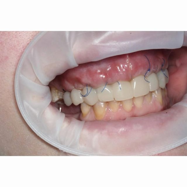
Одномоментное удаление зубов и установка имплантатов

Назад
Имплантация
Дата публикации: 07.03.2025
Одномоментное удаление зубов и установка имплантатов!????

✅И немедленная нагрузка (зубы сразу)

Еще отличительной особенностью этой работы является полное отсутствие слепков! Вся работа была сделана с помощью инновационного итероорального сканера Medit i700????
Запись на консультацию по телефону: +7 499 444-77-07 Записаться на прием
Запись на прием

Оставьте заявку и мы свяжемся с Вами в ближайшее время

Оставить заявку

Наши филиалы

Центр стоматологии InnДента Ярославль
ул. Городской Вал, д.15, корп.1
Центр стоматологии InnДента Сергиев Посад
проспект Красной Армии, 234к6
Центр стоматологии InnДента Реммаш
ул. Спортивная, д. 3
Центр стоматологии Инндента Холл
ул. Ленина, д.2, помещ. 114
Центр стоматологии InnДента Апрелевка
улица Кирова, 19