Ваш город:
Сергиев Посад
Хотьково
Апрелевка
Реммаш
Ярославль
+7 499 444-77-07
Время работы: пн-вс: 9:00-20:00
Услуги
Терапия
Ортопедия
Имплантация
Ортодонтия
Пародонтология
Хирургия
Детская стоматология
Гигиена полости рта
Консультация
Диагностика
Терапия
Лечение кариеса
Лечение пульпита
Стоматологическая помощь
Стоматология
Терапевтическая стоматология
Реставрация зубов
Винир на 1 зуб
Имплант для зуба под ключ
Лечение зубов под микроскопом
Лечение кариеса во время беременности
Пломбирование
Установка пломбы на зуб
Пломбирование каналов
Пломбирование зубов
Ортопедия
Установка коронки на зуб
Металлокерамические коронки
Керамические коронки
Протезирование зубов
Бюгельный протез
Зубные протезы
Виниры
Виниры
Терапия
Виниры Smile
Имплантация зубов
Имплантация жевательных зубов
Имплантация передних зубов
Имплантация одного зуба
Импланты
Имплантаты Astra Tech
Имплантаты Osstem
Имплантаты MegaGen
Имплантаты WhiteSky
Без костной пластики
Зубы за 1 день
Одномоментная имплантация
Имплантация с нагрузкой
Коронка на импланте
Клинические случаи
Имплантация All-on-4
Синус-лифтинг
Имплантация All-on-6
Имплантация All-on-8
Ортодонтия
Исправление прикуса
Исправление прикуса у детей
Элайнеры для зубов
Керамические виниры
Композитные виниры
Виниры на передние зубы
Установка брекетов
Брекеты
Лечение скученности зубов
Пародонтология
Лечение воспаления десен
Лечение гингивита
Лечение пародонтоза
Хирургия
Удаление зуба
Удаление зуба мудрости
Удаление молочного зуба
Детская стоматология
Детская гигиена полости рта
Детский стоматолог
Лечение кариеса у детей
Гигиена полости рта
Чистка зубного камня
Удаление зубного камня ультразвуком
Чистка зубов
Консультация
Комплексная консультация
Профилактический осмотр стоматолога
Чекап зубов
Консультация детского стоматолога
Консультация по протезированию
Диагностика
Компьютерная томография зубов
Конусно-лучевая томография зубов
Рентген зубов
Телерентгенография зубов
Панорамный снимок зубов
Консультация стоматолога
О центре
Документы
Наши специалисты
Наше оборудование
Отзывы
Обратная связь
Пациентам
Заболевания
Запрос справки на налоговый вычет
Правила для пациентов
Акции
Медиа
Галерея
Видео
Видеоотзывы
Статьи
Наши работы
Контакты
Вакансии
Записаться на прием
Главная
Наши работы
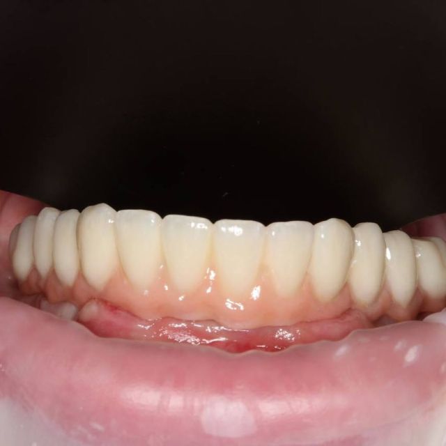
Протезирование по методике all-on-6
Протезирование по методике all-on-6
Назад
All-on-6
Дата публикации: 07.08.2025
Циркониевые коронки с керамическим нанесением, укрепленные фрезерованной титановой балкой.
✔️Прочная и эстетичная конструкция
После установки имплантатов была установлена временная конструкция из PMMA пластмассы.
Стоматолог-ортопед Сергеева Мария Сергеевна
Запись на консультацию по телефону: +7 499 444-77-07
Записаться на прием
Запись на прием
Оставьте заявку и мы свяжемся с Вами в ближайшее время
Оставить заявку
Наши филиалы
Центр стоматологии InnДента Ярославль
ул. Городской Вал, д.15, корп.1
Центр стоматологии InnДента Сергиев Посад
проспект Красной Армии, 234к6
Центр стоматологии InnДента Реммаш
ул. Спортивная, д. 3
Центр стоматологии Инндента Холл
ул. Ленина, д.2, помещ. 114
Центр стоматологии InnДента Апрелевка
улица Кирова, 19
Нажмите “ОК”, если вы соглашаетесь с
условиями
обработки cookie и ваших данных о поведении на сайте, необходимых для аналитики. Запретить обработку можно cookie можете через браузер
Ок