Ваш город:
Время работы: пн-вс: 9:00-20:00
Записаться на прием Меню

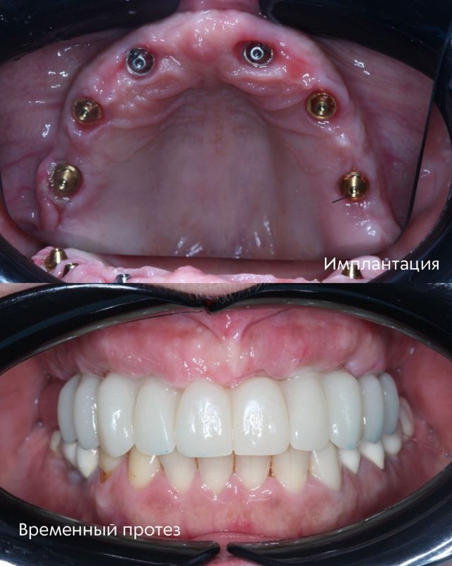
Тотальная реабилитация верхней челюсти на 6 имплантатах

Назад
All-on-6
Дата публикации: 22.05.2025
Пациент - женщина
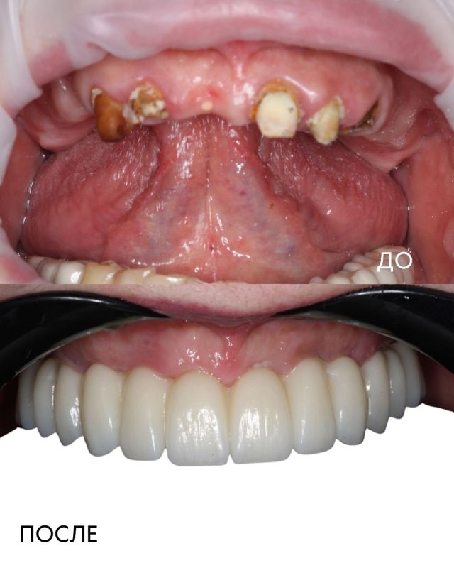
Проведена тотальная реабилитация верхней челюсти по концепции All-on-6

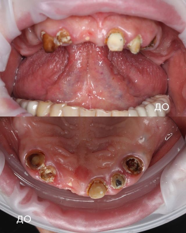
Фото «До» после снятия старых металлокерамических коронок. Далее мы установили сразу временный протез
В конце установлен постоянный протез на каркасе диоксида циркония с титановой балкой 
Запись на консультацию по телефону: +7 499 444-77-07 Записаться на прием
Запись на прием

Оставьте заявку и мы свяжемся с Вами в ближайшее время

Оставить заявку

Наши филиалы

Центр стоматологии InnДента Ярославль
ул. Городской Вал, д.15, корп.1
Центр стоматологии InnДента Сергиев Посад
проспект Красной Армии, 234к6
Центр стоматологии InnДента Реммаш
ул. Спортивная, д. 3
Центр стоматологии Инндента Холл
ул. Ленина, д.2, помещ. 114
Центр стоматологии InnДента Апрелевка
улица Кирова, 19